LOW COST HEALTHCARE IS ACHIEVABLE
Everyone should read Thakar et al's paper from India. "It is well-accepted that the current healthcare scenario worldwide is due for a radical change, given that it is fraught with mounting costs and varying quality. Various modifications in health policies have been instituted toward this end. The authors discuss the successful inception, functioning, sustainability, and replicability of a novel health model in neurosurgery built and sustained by inspired humanitarianism and that provides all treatment at no cost to the patients irrespective of their socioeconomic strata, color or creed." The charity hospital where they work has been functioning for 20 years with other duplicated hospitals in India. A devotion to cost consciousness, humanism, and quality of care are the bases of the culture. The hospital attracts doctors and employees, who are paid a fixed income not based on volume production. This model is outstanding and can be replicated in developing and perhaps developed countries. This is a landmark paper. It deserves publication worldwide.
EPIDEMIOLOGY: RISE IN NEUROLOGICAL DEATHS IN THE USA COMPARED WITH OTHER COUNTRIES
Pritchard et al, from the UK, have written another landmark paper -- that has already been cited worldwide -- on the rise in "Neurological deaths of American adults (55–74) and the over 75's by sex compared with 20 Western countries 1989–2010: Cause for concern." The authors review, "World Health Organization Total Neurological Death (TND) data compared with control mortalities, cancer mortality rates (CMRs), and circulatory disease deaths (CDDs) between 1989-1991 and 2008-2010 and odds ratios (ORs) and confidence intervals calculated." "Every country's neurological deaths rose relative to the controls, especially in the USA, which is a cause for concern and suggests possible environmental influences." This paper contains troubling and important conclusions for the USA. What is the cause?
CEREBROVASCULAR
From Canada, Lo and his co-authors, including McDonald (who has a long credible history of work in SAH), have done a superb statistical analysis of papers in the literature investigating brain-body interfaces from SAH. In the six papers they found acceptable to review, they noted "the relationship between brain aneurysmal rupture and delayed activation of the renin-angiotensin-aldosterone system," "the various relationships between the brain, neuroendocrine and renal systems," "between neurogenic pulmonary edema and takotsubo-like cardiomyopathy," "associations between cardiac troponin elevation and cardiovascular-related morbidity and mortality after aneurysmal subarachnoid hemorrhage," and the "circulatory changes in aneurysmal subarachnoid hemorrhage patients with neurogenic pulmonary edema." In my opinion, the 21st century will reveal the interactions between the brain and other body systems as this review has demonstrated, through the autonomic nervous system. This paper will become a classic in the field. If interested, it is easy to read and informative. Look at figures 1 and 3 for good graphic summaries.
Using the same statistical approach in picking excellent studies, Lo et al wrote a second study in which "the most frequently retained significant clinical prognostic factors for long-term neurologic outcome prediction in aneurysmal SAH includes age, neurological grade, blood clot thickness, and aneurysm size". Yet, that authors found that "studies attempting to elucidate prognostic factors in aneurysmal SAH are affected by a number of methodologic limitations." Another excellent article for those interested in SAH.
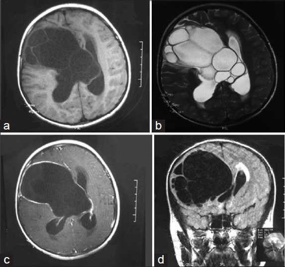
PEDIATRIC NEUROSURGERY
Bao et al present their personal experience on patients with spina bifida in China. It is the result of having treated 1600 children for 12 years at Shanghai Children's Medical Center. They classify the cases on spina bifida manifesta (myelomeningocele, myelocele, lypomyelomeningocele) or spina bifida oculta (lipoma, dermal sinus and thickened filum terminale). For the former, they recommend surgery within 24-48 hours after birth. For the latter, they recommend preventive surgery months after birth. They acknowledge that the diameter of the spinal canal is a problem for large remnant lesions. In cases of myelomeningocele, They prefer to place the shunt and close the defect in the same procedure, reducing the risks inherent to exposure to anesthesia, and reducing the hospital stay and related costs. If there is a suspicion of infection, they do not place the shunt on the same procedure. The personal description of the preferred techniques for closure of the different defects is described." This paper contributes to the series of papers previously accumulated by Jorge Lazareff from other developing countries in the world on how these problems are managed. This is practical neurosurgery that is meaningful to the reader. What are other people doing compared to what I do is the question the reader wants to know. This is an outstanding and extensive review of neural tube defects and their surgical treatment in a very large series.
Ferreira et al from Brazil wrote about their studies on 97 patients with craniovertebral junction abnormalities."Craniometric studies have shown that both Chiari malformation (CM) and basilar invagination (BI) belong to a spectrum of malformations. A more precise method to differentiate between these types of CVJM is desirable. The Chamberlain's line violation (CLV) is the most common method to identify BI. The authors sought to clarify the real importance of CLV in the spectrum of craniovertebral junction malformations (CVJM), and to identify possible pathophysiological relationships." "Chiari malformation's Chamberlain's line is discrete and similar to the normal subjects. BI 1 and BI 2 presented with at least 0.95 cm CLV and these violations were strongly correlated with a primary cranial angulation (clivus horizontalization) and an acute clivus canal angle (a secondary craniocervical angle)."
Lam et al from the USA continue their series from Texas Children's Hospital. This report is on the "Management of hydrocephalus in children with posterior fossa tumors." This is a concise review of the options a surgeon has in managing this problem. Outstanding piece of work.
STEREOTACTIC
Zekaj et al from Italy wrote about a case with "Gilles de la Tourette Syndrome (GTS). GTS is a complex neuropsychiatric disorder, characterized by chronic motor and vocal tics, associated in 50-90% of cases with psychiatric comorbidities. Patients with moderate and severe clinical picture are treated with psychotherapy and pharmacological therapy. Deep brain stimulation (DBS) is reserved for pharmacological refractory GTS patients. As GTS tends to improve with time and potentially resolves in the second decade of life, the major concern of DBS in GTS is the age at which the patient undergoes surgical procedure. Some authors suggest performing DBS after 18 years, others after 25 years of age."
TRAUMA
"Chronic subdural hematoma (CSDH) is one of the most common clinical entities in daily neurosurgical practice which carries a most favorable prognosis. However, because of the advanced age and medical problems of patients, surgical therapy is frequently associated with various complications." This study by Rovlias et al from Greece "evaluated the clinical features, radiological findings, and neurological outcome in a large series of patients with CSDH. A statistical system using "a classification and regression tree (CART) technique was employed in the analysis of data from 986 patients. [CART is an alternative statistical method of making predictions from data based on repeated partitioning of the dataset into more homogeneous subgroups. CART searches for combinations of values of independent variables that best predict the value of the dependent variable and results are presented as 'decision trees.'"] The authors' results indicated that neurological status on admission was the best predictor of outcome. With regard to the other data, age, brain atrophy, thickness and density of hematoma, subdural accumulation of air, and antiplatelet and anticoagulant therapy were found to correlate significantly with prognosis. The overall cross-validated predictive accuracy of the CART model was 85.34%, with a cross-validated relative error of 0.326. Compare your results with that of the authors. Their decision tree analysis of their data is compelling.
NEOPLASMS
Praver et al. from the USA present a rare case of "Atypical pleomorphic neoplasms of the pineal gland." This paper comes from an institution with a large volume of experience in the management of pineal region tumors for decades initiated by Ben Stein. The true value in this paper is in the discussion, which indicates that pineal region tumors have variable histology and that surgical approaches are the treatment of choice for these tumors for definitive diagnosis and complete removal. Endoscopic approaches cannot equal these results. In Japan, where the incidence of germinomas is much higher than other countries, a different approach is taken in pineal region lesions with biopsy or a radiosurgery trial first.
UNIQUE CASE OBSERVATIONS
VASCULAR
In a fascinating case report, Ishida et al from Japan "report 2 cases of rerupture after an extremely long time [35 years] since the initial clipping. In both cases, the old clip was removed, and the regrown gourd-shaped aneurysm was successfully obliterated."
Pignotti et al from Italy show a never-before-seen picture of a capillary hemangioma of the cauda equina and discuss its treatment. One of the authors, Fernandez, is a world authority on peripheral nerve disease. See figure 2 in the sidebar above.
INFECTIOUS DISEASE
Khan et al from Pakistan presented a rare case with multiple cerebral hydatid cysts. The discussion is an excellent review of the treatment of this disease rarely seen in the developed world. See figure 1 in the sidebar above.
SPINE-CSF LEAK
Falatko et al from the USA described a patient in whom all efforts to find a CSF leak at C1 failed. "CSF leaks are often discrete and difficult to identify using static imaging. The use of pressurized radionuclide cisternography by lumbar drain injection allows for the real-time evaluation of CSF dynamics and can more precisely identify slow flow leaks often missed with static imaging.
CHIARI MALFORMATION (CM)
Loch-Wilkinson et al from Australia presented an unusual case of pure trigeminal neuralgia associated with CM that was successfully treated with craniocervical decompression and duroplasty. The authors also reviewed the limited literature on the subject.
FAMILIAL COLLOID CYSTS (CC)
Niknejad et al from Belgium and Germany described a unique presentation of a familial case of a colloid cyst, and reviewed the relevant literature on CCs and their natural history, to improve our understanding of these cases.
ANATOMY
Vinicius et al from Brazil and the USA performed an anatomical study on cadavers using MR for comparisons, using the midline as a mark for the position of the superior sagittal sinus (SSS). "The SSS was consistently displaced on either side of midline. Thus, the midline is not reliable for identifying the SSS, and caution should be used within 6-10 mm on either side of midline."
HISTORY
On the fiftieth anniversary of Joseph Stalin's death, the British newspaper, the Daily Mail, headlined, "It's official! Stalin died of natural causes: Autopsy published for 1st time says Soviet leader suffocated after suffering a stroke death as from 'natural causes." Fariasummarizes his conclusion from the available evidence in a superb job of medical investigation that indicates that Stalin was poisoned by his associates. He has previously published a detailed paper on this subject in SNI. Still misinformation about Stalin's death is prevalent.
CONTROVERSY
SNI published a Letter to the Editor on the RCT of ICP monitored management of intracranial hypertension versus management by neurological monitoring and CT scanning. The results of the study showed:
"For patients with severe traumatic brain injury, care focused on maintaining monitored intracranial pressure at 20 mm Hg or less was not shown to be superior to care based on imaging and clinical examination." (NEJM 2012;367; 2471-2481) Chestnut et al.)
Much controversy has been raised by this study as some have concluded that ICP monitoring is not useful, which is precisely what Chestnut states is the incorrect conclusion from their paper. Chestnut et al's response to those criticisms were published in SNI in July 2015. Also, there are comments from David Hunt on this controversy, following the letter. SNI provides a forum for the exchange of ideas. That is SNI's purpose -- to present ideas and to let the reader decide what his/her opinion is. Read the commentary in the original letter to the editor and decide what you think. To me, Chestnut's arguments are very compelling.
In another controversy, the use of glyphosate, a broad spectrum herbicide (called Roundup, manufactured by Monsanto) and its possible toxic effects on humans is discussed by Faria in response to an article in SNI by Samsel and Seneff. Faria's paper is a masterpiece in the analysis of common sense statistics associating one event with another without any relevant data to prove causation. Faria's paper alone is an outstanding education in science, the scientific method, application of logic, and the use of good judgment as a citizen, scientist, and physician to many things we are told. It is the best such explanation I have read. End of glyphosate story.
EDITORS COMMENTS
As we rapidly evolve into the 21st century, we can lose sight of the principles of medicine that underlie what we do: 1) The patient comes FIRST before any other obligation. There is no exception to this rule. 2) Treat the patient as a member of your family. 3) Tell the patient what you know and what you do not know. If there is someone better to care for the problem, send the patient to them. 4) Always tell the truth even if you make a mistake, regardless of what the hospital or lawyers advise. They have other agendas which do not place the patient first. It is your conscience and credibility, not theirs. You are the patient's family. 5) What is the patient's contract with you and the hospital? The hospital makes the patient fill out forms that excuse complications. No one asks what the patient's contract with the hospital is. You have an unwritten contract with the patient which is to care for him/her as your family, 24/7, 365, and follow all the above rules. This last rule is broken by hospital administration and doctors all the time. Remember, in business you give the customer what they want, or you are out of business. The same applies to your healthcare services.
WHAT'S NEW?
This month, look for the new editions of Hoy!, the Spanish newsletter, which is excellent. The new issues of the Russian and Brazilianjournals of neurosurgery also can be found. Professor Hernesniemi's book on microneurosurgery is now available for a free download, inEnglish, Spanish, and Japanese. A Russian version is coming soon. By the end of the year, the Video Journal of Neurosurgery by Hernesniemi and colleagues with 1001 operative videos will be ready for your views. Nancy Epstein will follow in September with her summary of a series of new papers on spine.
Let me know how we can make SNI better for you. There are now 10 supplements to SNI in which most of the papers eventually are placed so you can read them conveniently. Spine, Streotactic, Neurooncology, Cerebrovascular, Pediatric Neurosurgery, Futuristic Advances in Neurosurgery, Neurosurgery Comments on papers from around the world, Unique Case Observations, The Argentinean Journal of Neurosurgery, and Neuroscience Nursing. Write to me at jamesausman@mac.com.
James I. Ausman, MD, PhD,
Editor in Chief,
Surgical Neurology International


Δεν υπάρχουν σχόλια:
Δημοσίευση σχολίου